Q: How do clams enjoy their festivities?
A: They Shellebrate!
All about Fish Vetting – Dr Richmond Loh
Q: How do clams enjoy their festivities?
A: They Shellebrate!
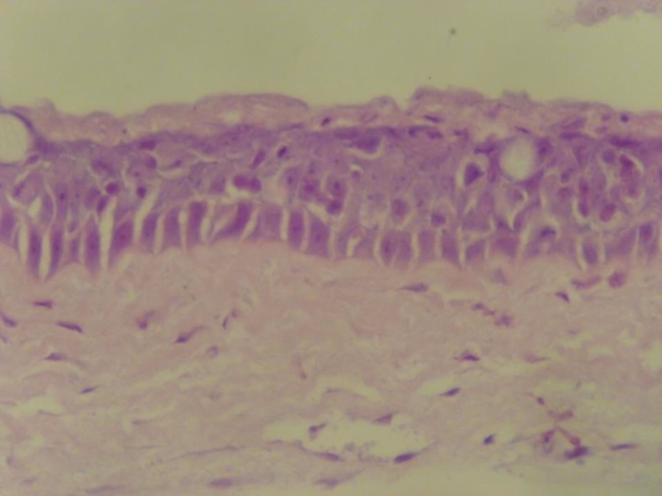
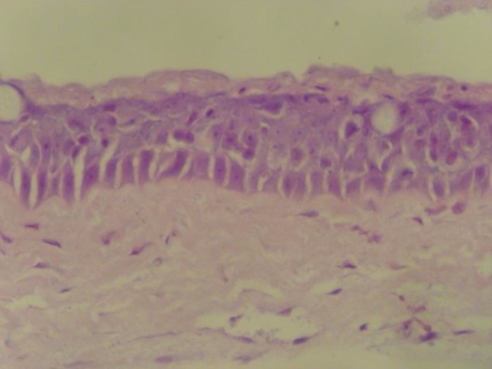
I was taking to some clients about why it is that we can feel that male koi get rougher around their gill covers and along their bodies. I remarked that I studied sections under the microscope, comparing male to female koi.
Normally, fish have living epithelial cells right up to the surface; unlike us, who have skin cells that form keratinised dead cell layers. But in the male koi, they seem to produce bits on their skin surface that appear like keratin on histology sections. I concluded that this is the reason that males are rough.
One of them remarked, “But fish have carotene, it gives them their colour and that’s what we feed them.”
And so we began our lesson in spelling and pronunciation.
“Ke-ra-tin”, not “ka-ro-teeeeen”.
Enjoy your day!
—
Yours sincerely,
Dr Richmond Loh
DipProjMgt, BSc, BVMS, MPhil (Pathology) Murdoch, MANZCVS (Aquatics& Pathobiology), CertAqV, CMAVA, NATA Signatory.
THE FISH VET, Perth, Western Australia.
Veterinary Medicine for fish.
W: http://www.thefishvet.com.au
E: thefishvet
P: +61 (0)421 822 383
The Marine Mammal Center International Veterinary In-Residence (IVIR) training program
provides marine mammal veterinarians across the globe an opportunity to gain experience in
marine mammal medicine and rehabilitation. It is expected that successful applicants will return
to their pre-existing programs prepared to implement training programs of their own.
This position requires a DVM degree or equivalent. Preference will be given to
veterinarians that are currently employed with a marine mammal rehabilitation program
or non-profit equivalent. This is an unpaid position. Airfare to San Francisco, CA, as well as
shared housing at the TMMC Guest House located within the Marin Headlands, will be provided
as part of the program. The house is shared during the busy season with other students,
researchers, externs and the veterinary intern. This position is available during the busy
season for three months at a time, either from March-May, May-July or July-September.
The applicant is responsible for completing all required visa paperwork, and is required
to have an international driver’s license.
The Marine Mammal Center veterinary staff includes full and part time veterinarians, three
veterinary technicians, a medical technologist and research staff. Goals of the program include
assisting the veterinary medical staff in providing medical management of a large number of
stranded marine mammals (mostly pinnipeds); performing post mortem examinations, sample
collection for various research projects, and record keeping. Collaborative research is highly
valued at TMMC, and development of a research project, either clinical or using retrospective
necropsy data, is highly encouraged.
If qualified, applicants should submit the following materials:
1. A cover letter/statement outlining the applicant’s goals and interests in the area of
aquatic animal medicine.
2. Three letters of recommendation from individuals familiar with the applicant’s academic
and/or clinical performance.
3. A current curriculum vitae, limited to 4 pages.
4. Selection of preferred dates (applicants will only be selected during the busy season
(March-September), but slight flexibility in scheduling will be accommodated on a case-
by-case basis
Please submit your application via E-mail if possible:
To: vetsciadmin@tmmc.org
Subject: 2015 International Veterinary In-Residence Program
Dr. Claire Simeone
Conservation Medicine Veterinarian, The Marine Mammal Center
2000 Bunker Road, Fort Cronkhite Sausalito, CA 94965-2619
Applications are due by Friday, November 28th, 2014. A selection will be made by the first
week in January 2015.
It was like dragging two sacks of potatoes through the water’: Huge catfish caught by British man Tom Herron | News.com.
Tom Herron (centre) with his record breaking 221lb catfish. Also pictured are his friends Ashley Scott (left) and Andy Cooper. Mr Herron said it was like “dragging two sacks of potatoes through the water”. Source: Snapper MediaIT could so easily have been the one that got away. A story about that giant fish that no one but the guy who almost caught it could vouch for.
Except Tom Herron, 68, did catch it — a mammoth 8ft 1in long and 221lbs rare albino catfish. In doing so he smashed a record his mate John Edwards, 74, set only an hour before when he reeled in an albino catfish that weighed 205lbs.
Cornwall-based Mr Herron told the Daily Star: “It was like dragging two sacks of potatoes through the water, it was unbelievable. I’ve been fishing for 50 years and this was the biggest fight I’ve ever had.”
John Edwards (left) with his catfish and Tom Herron (right) with his record breaking catfish with their friend Ashley Scott. The two friends hooked the rare fish just minutes apart. Source: Snapper Media
Tom Herron with his record-breaking catfish. Source: Snapper MediaIt was the biggest albino they have ever seen caught on the river. “Apparently they make good eating — but you’d need a lot of chips,” he told the newspaper.
The trip, two hours south of Barcelona, was organised by a British tour firm, whose staff couldn’t believe what they were seeing.
They had never seen a brace of albino catfish, let alone two world records smashed in one day.
A spokesman said: “Albino catfish of that size are very rare indeed. This is the biggest we’ve ever seen.”
The albino catfish gets its unusual appearance as a result of a genetic anomaly that causes the fish to lack pigment and thereby appear white. They are considered trophy fish.
At the recent AVMA Convention I attended, Dr Myron Kebus presented on this great program their state government in cooperation with the University of Wisconsin had set up. The online courses are expected to reduce the risk of diseases on fish farms by increasing the number of trained fish producers and veterinarians. Additionally, veterinary involvement at fish farms will improve the health of fishes, reduce losses and ultimately, increase profitability for the farmer.
Although open to anyone, this training program is targeted at veterinarians and fish producers in their state.
Follow the headings below for more information about the courses:
Programs for Veterinarians:
Programs for Fish Producer:
So the last couple of weeks, I had a couple of posts, to share what we learnt about the 7 special senses of sharks, and some of the shark deterrents for protection from shark attacks.
The research can’t have been done at a more appropriate time since a 23-year-old surfer has lost an arm and his other hand in a shark attack at a beach near Esperance in southern Western Australia last week. This is tragic. What can we do?
What’s the most simple, promising and effective solution to protect beaches and divers from shark attacks?
BUBBLES!
In the lab, they separated the Port Jackson shark from a piece of food by a curtain of bubbles. The Port Jackson shark never swum through the curtain to get to the food. This was also trialed in the field in relatively shallow water depth and they found the nurse shark never crossed the curtain of bubbles to get at food. In fact, they appeared to be unaware of the food on offer.
So why does this work?
Well, bubbles work by causing multisensory disruption.
Having learnt all this, how would I put this into practice? I envision a beach that is protected by a wall of bubbles. Some extra bubbles may be directed in shallow areas so we can use it as a spa. And to satisfy the neophobia parts of the shark senses, I’d install bright flashing laser lights to go with the bubbles so that we can have an underwater light show for the snorkellers and divers. And to go with the light show, some 1980’s synthesiser music played in between the relaxing predatory orca sounds.
Is that a great plan or what?
Hindquarter paralysis is not uncommon in pet koi carps. Information posted by pet koi owners online suggests that paralysis often showed a sudden onset.
This project will investigate possible causes of hindquarter paralysis in pet koi using radiographs, clinical examinations and necropsies.
If you are in the Perth area and have fish that fits this description, please contact my colleage, Dr Susan Gibson-Kueh at s.kueh@murdoch.edu.au by Friday 10 Oct. 2014.
Follow me on: Facebook "Fin Page" – YouTube – Blog – Linkedin – Twitter
—
Yours sincerely,
Dr Richmond Loh DipProjMgt, BSc, BVMS, MPhil (Pathology), MANZCVS (Aquatics & Pathobiology), CertAqV, CMAVA, NATA Signatory.
Aquatic Veterinarian | Adjunct Lecturer Murdoch University | President WAVMA |
Secretary Aquatic Animal Health Chapter – ANZCVS.
THE FISH VET, Perth, Western Australia, AUSTRALIA. Mobile Aquatic Veterinary Medical & Diagnostic Services.
http://www.thefishvet.com.au
Ph: +61 (0)421 822 383
Skype: thefishvet
Looking for more books? Check out this site.


Read more here –
http://vetgirlontherun.com/suicide-awareness-dr-sophia-yin/
—
Yours sincerely,
Dr Richmond Loh
DipProjMgt, BSc, BVMS, MPhil (Pathology) Murdoch, MANZCVS (Aquatics& Pathobiology), CertAqV, CMAVA, NATA Signatory.
THE FISH VET, Perth, Western Australia.
Veterinary Medicine for fish.
W: http://www.thefishvet.com.au
E: thefishvet
P: +61 (0)421 822 383
Good News from Aquavetmed:
Washington, DC (Whitehouse Press Release) — A designated area in the South-Central Pacific Ocean is now home to pristine and biodiverse marine ecosystems that are vulnerable to the impacts of climate change. As part of this Year of Action, President Obama signed a proclamation on September 25, 2014 to designate the largest marine reserve in the world that is completely off limits to commercial resource extraction including commercial fishing.
The proclamation expands the existing Pacific Remote Islands Marine National Monument, one of the most pristine tropical marine environments in the world, to six times its current size, resulting in 370,000 square nautical miles (490,000 square miles) of protected area around these tropical islands and atolls in the south-central Pacific Ocean. Expanding the Monument will more fully protect the deep coral reefs, seamounts, and marine ecosystems unique to this part of the world, which are also among the most vulnerable areas to the impacts of climate change and ocean acidification.
The recently released National Climate Assessment confirms that climate change is causing sea levels and ocean temperatures to rise. Changing temperatures can harm coral reefs and force certain species to migrate. In addition, carbon pollution is being absorbed by the oceans, causing them to acidify, which can damage coastal shellfish beds and reefs, altering entire marine ecosystems. To date, the acidity of our ocean is changing 50 times faster than any known change in millions of years.
In response to this growing threat, the President announced in June his commitment to use his authority to protect some of our most precious marine landscape just like he has for our mountains, rivers, and forests. The Administration identified expanding the Pacific Remote Islands Marine National Monument as an area of particular interest because science has shown that large marine protected areas can help rebuild biodiversity, support fish populations, and improve overall ecosystem resilience.
To meet the President’s commitment, the Administration examined how to expand protections near the Monument and considered the input of fishermen, scientists, conservation experts, elected officials, and other stakeholders, including through a town hall meeting and over 170,000 comments submitted electronically.
The expanded Monument will include over 130 newly protected sea mounts, which are hotspots of biodiversity that harbor uncounted numbers of new and unique marine species. The expansion will better protect the habitat of animals with large migration and foraging ranges that stretch throughout the area, including sea turtles, marine mammals, and manta rays. The Monument is also home to millions of seabirds that forage over hundreds of miles and bring food back to their rookeries on the islands and atolls. These birds serve as a conveyor belt of energy bringing nutrients caught at sea back into the near shore environment where they help sustain the ecosystems.
Commercial fishing and other resource extraction activities, such as deep sea mining, are banned in the Monument. In recognition of the importance of encouraging and supporting access to federally managed areas, recreational and traditional fishing that is consistent with the conservation goals of the Monument will continue to be allowed in the expanded Monument.
This proclamation builds on the Administration’s efforts to protect both our lands and our oceans. Early in his first term, President Obama launched the National Ocean Policy to harmonize the implementation of more than 100 laws that govern our oceans and create a coordinated, science-based approach to managing the many resources and uses of our coasts and oceans. In June, President Obama launched a series of executive actions to increase protections for the ocean, including combating black market fishing, establishing a pathway to new marine sanctuaries, and understanding the impacts of ocean acidification. The President has also designated eleven other national monuments across the United States to permanently protect sites that are significant to our nation’s rich history and natural heritage.
The expanded monument will continue to be managed by the Departments of the Interior and Commerce through the U.S. Fish and Wildlife Service and National Oceanic and Atmospheric Administration respectively. The Agencies will develop management plans pursuant to their respective authorities under the Antiquities Act, the Magnuson-Stevens Fishery and Conservation Management Act, and other relevant authorities to ensure proper care and management of the Monument.
First exercised by President Theodore Roosevelt in 1906 to designate Devils Tower National Monument in Wyoming, the authority of the Antiquities Act has been used by 16 presidents since 1906 to protect unique natural and historic features in America, such as the Grand Canyon, the Statue of Liberty, and Colorado’s Canyons of the Ancients.
Source: http://tinyurl.com/n9sot8y
___________________________
AquaVetMed e-News provides information to veterinary and veterinary-allied subscribers concerning aquatic animal medicine, health, welfare, public health and seafood safety, obtained from a variety of sources (largely AquaVetMed subscribers). While provided by the American Veterinary Medical Association’s, Aquatic Veterinary Medicine Committee and are for public distribution, they do not necessarily reflect the opinion of the AVMA or the veterinary profession. See the AVMA Terms of Use (http://tinyurl.com/29h2rf)for further information.
Subscription and Contributions: Interested veterinarians and veterinary-allied professionals can subscribe, unsubscribe, or contribute pertinent news or information, by sending a message with “For AquaVetMed -” and the topic in the subject line, todscarfe@avma.org. If e-News information is used elsewhere please acknowledge AquaVetMed as the source. Encourage individuals to subscribe rather than distribute through list serves.
Note: Undelivered e-mails will not be resent; Subscribers will be deleted from the list after repeated undelivered or bounced messages and will have to re-subscribe. Messages may contain attachments that will have been scanned for known viruses.
Visit our website:www.avma.org
________________________________