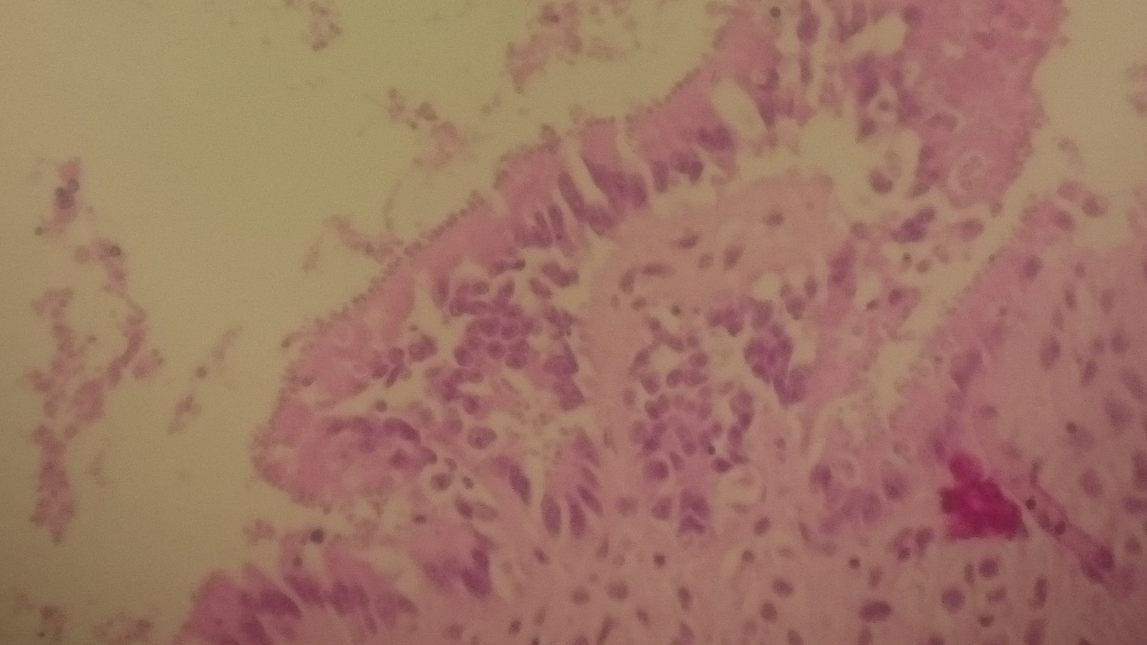
This is such a timely article published in the Australian Veterinary Journal. Just last week I diagnosed Cryptosporidia in an owner’s fish (pictured are the bugs, represented by little blue blebs on the surface of the gut cells). Now that the owner is armed with this knowledge, they will return to their GP, to assess the risk of the fish’s bug, infecting the owner, and their family.
Some pertinent points from the article are included below:
The term ‘Clinical One Health’ is used to describe a new paradigm of veterinarians assisting doctors to more effectively manage patients suffering from a zoonotic disease or other animal-related clinical condition.
“In reality, if vets had a more formal role in clinical medicine, the professional separation between doctors and veterinarians in Australia would decrease and implementation of One Health activities would increase,” Dr Speare said.
“The exchange of pathogens between animals and humans is becoming increasingly complex, so it’s difficult to determine whether they belong to humans or animals.
“Vets can help patients understand their disease, how they may have acquired it, how they can reduce their chances of getting it again, and more importantly how the hazard to their family, work colleagues or others sharing the same risks could be reduced.
Read more here –
http://www.ava.com.au/13575
Find out more about the origins of One Health – here.
—
Yours sincerely,
Dr Richmond Loh
DipProjMgt, BSc, BVMS, MPhil (Pathology), MANZCVS (Aquatics& Pathobiology), CertAqV, NATA Signatory.
Aquatic Veterinarian & Veterinary Pathologist.
PERTH | MELBOURNE | TOWNSVILLE
THE FISH VET – AUSTRALIA.
Aquatic Veterinary Medical & Diagnostic Services.
http://www.thefishvet.com.au
Ph: +61 (0)421 822 383

We do this almost daily, Dr Richmond! From helping one of our students understand the real meaning of “coffee grounds vomiting” in a recent PET First Aid course, to likely diagnoses of Sarcoptic Manage, advice on handling cat litter trays while pregnant and telling members to have their Doctors test for Zoonotic diseases. We find Doctors woefully underinformed (and often mis-informed) on zoonoses, (do you blame them, with all the pressure they are under?) but most are willing to accept ‘veterinary suggestion” and we are thanked regularly. As to formally integrating with medical practice? Thinking egos might get in the way… 😉
LikeLike
I’ve received comments that a number of vets are already involved, sometimes formally. For example Dr James Harris is a Fellow of the Royal Society of Public Health with a special interest in Zoonotic Diseases. It’s a good sign.
Though, as you commented, some GPs are under-informed about such things. My client’s GP asked them to find an infection disease specialist, and didn’t order testing for Crypto.
LikeLike